Una de las principales áreas de especialidad en nuestra clínica es la Cardiología, disponemos de los servicios adecuados para el desarrollo de ésta especialidad:
Electrocardiografía
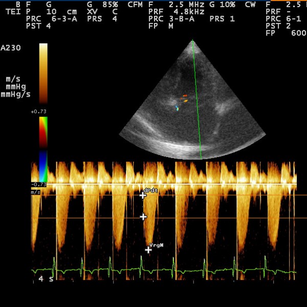
Ecocardiografía Doppler
Formación específica: Certificado de Especialidad en Cardiología (General Practitioner Certificate in Cardiology) por la ESVPS (European School of Veterinary Postgraduate Studies) por parte del Dr. Carlos de Mula



